부산잇몸성형, 웃을 때 잇몸 과한 노출 고민

2025-07-15



✈️ 일본 의료업계에서도

 뜨거운 관심!


얼마 전 일본에 다녀올 기회가 있었어요.


의료업계에서 일하시는 분들을 만나

이야기할 수 있는 자리가 있었는데요,


흥미로웠던 건 한국에서 익숙한

‘외모 중요 문화’가

일본에도 꽤 강하게 퍼져있다는 점이에요.


특히 치과, 피부과에서 일하시는 분들조차

잇몸성형, 거미스마일 보톡스 같은 시술에

관심이 많더라고요.


요즘 성형은 예뻐지는 걸 넘어서

자기 개성을 표현하는 방법으로

자리 잡은 느낌이랄까요?


🇰🇷 한국 성형, 세계가 인정하는 기술력


한국의 성형 기술은

세계적으로 유명하죠?


동남아, 동북아시아 쪽에서는

한국에 성형하러 오는 분들이

정말 많아요.


치과, 피부과뿐 아니라

전체적인 미용 시술에서

한국 의사들의 손기술은

세계적으로 인정받고 있어요.


그래서 앞으로도

한국에서 시술받으려는 수요는

계속 늘어날 거라 생각됩니다.





😄 웃을 때 잇몸 고민,

왜 신경 쓰일까요?

 


이제 본론으로 들어가볼게요!


오늘 이 글을 쓰는 이유는

치과에서 주로 하는 시술,

잇몸성형에 대해 이야기하려는 거예요.


아마 이 글을 보고 계신 분들은

웃을 때 손으로 입을 가리거나

잇몸 노출이 고민이라서

검색하다 들어오셨을 확률이 높겠죠?


웃을 때 보이는 미소는

인상을 좌우하는 큰 요소예요.


잇몸이 많이 보이면

자연스럽게 웃기보다

입을 가리게 되고,

그러다 보면 자신감이

없어 보일 수 있어요.





💉 거미스마일 보톡스는 

어떤 시술일까?


거미스마일 보톡스, 들어보셨나요?

이건 웃을 때 입꼬리를 올리는 근육을


살짝 억제해서

잇몸이 덜 보이게 하는 방법이에요.


다만, 어디까지나 일시적인 효과라

개인적으로는 “잠깐 개선”이 필요할 때

고려해볼 수 있지만,

강력 추천까진 안 드려요.





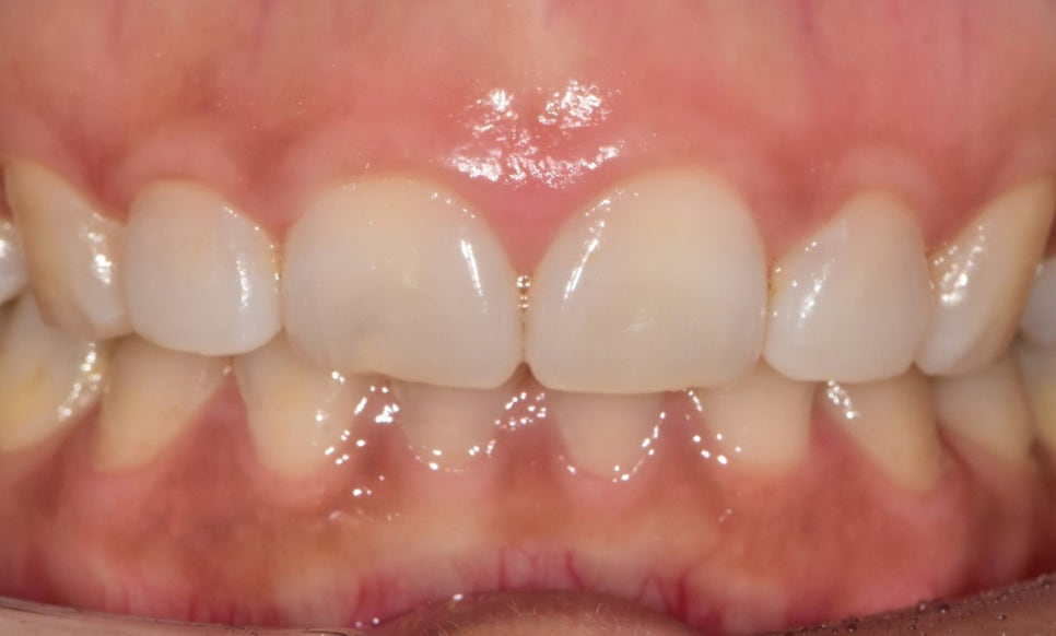
✨ 잇몸성형, 

진짜 드라마틱한 변화!

(25.01.01 짧은 치아 예시사진) 구강 사진은 본 칼럼의 이해를 돕기 위해 첨부하였습니다. 개인의 구강상태에 따라 치료결과가 달라질 수 있고 출혈, 붓기 등이 발생할 수 있습니다.



치아 자체가 짧거나

잇몸이 유난히 많이 보이는 분들은

잇몸성형이 더 좋은 선택일 수 있어요.


치아의 길이를 길어 보이게 하고,

잇몸 위치를 조정해서

전체 인상을 훨씬 시원하고

깔끔하게 만들어주는 시술이거든요.


아직 많이 알려지지 않은 시술이라

강남언니, 바비톡 같은 앱에도

정보가 많진 않아요.


하지만 시술받은 분들의

만족도는 정말 높아요!





🦷 잇몸성형, 

이런 점이 좋아요



잇몸성형은 잇몸만 살짝 다듬는 게 아니라,

잇몸뼈와 잇몸 위치를 재조정해서

웃을 때 잇몸이 덜 보이게 해줘요.


치료 과정이나 효과를

잘 몰라서 막연히 두려워하시는 분들이 많은데,

알고 나면 “왜 이제 알았지?”

싶을 정도로 큰 변화를 줘요.





💬 마무리하며


외모가 중요하지 않은 시대는

이미 지난 것 같아요.


물론 무리해서 과한 시술을

할 필요는 없지만,

호감형 인상, 자신 있는 미소를

만드는 건 충분히 가치 있다고 생각해요.


웃을 때 잇몸 노출이 고민이라면,

이번 기회에 잇몸성형을

한 번쯤 알아보시길 추천드려요!


궁금하신 점 있으시면

언제든 편하게 물어봐 주세요!

친절히 설명드릴게요 💛




기업명 : 닥터배치과의원  ㅣ  대표자 : 배승한  ㅣ  사업자번호 : 217-33-01319

부산 연제구 중앙대로 1112 6층  ㅣ  T.051-853-1002

Copyright © DoctorBaeDentalClinc

문의전화

051-853-1002

닥터배치과와 지금 바로 상담해 보세요.

예약하기


기업명 : 닥터배치과의원  ㅣ  대표자 : 배승한 

사업자번호 : 217-33-01319

부산 연제구 중앙대로 1112 6층 

T.051-853-1002

Copyright © DoctorBaeDentalClinc

닥터배치과 상담하고 싶어요!

051.853.1002

회사명(이하 ‘회사’라 한다)는 개인정보 보호법 제30조에 따라 정보 주체의 개인정보를 보호하고 이와 관련한 고충을 신속하고 원활하게 처리할 수 있도록 하기 위하여 다음과 같이 개인정보 처리지침을 수립, 공개합니다.

제1조 (개인정보의 처리목적)
회사는 다음의 목적을 위하여 개인정보를 처리합니다. 처리하고 있는 개인정보는 다음의 목적 이외의 용도로는 이용되지 않으며, 이용 목적이 변경되는 경우에는 개인정보보호법 제18조에 따라 별도의 동의를 받는 등 필요한 조치를 이행할 예정입니다.

1. 홈페이지 회원 가입 및 관리
회원 가입 의사 확인, 회원제 서비스 제공에 따른 본인 식별․인증, 회원자격 유지․관리, 제한적 본인확인제 시행에 따른 본인확인, 서비스 부정 이용 방지, 만 14세 미만 아동의 개인정보처리 시 법정대리인의 동의 여부 확인, 각종 고지․통지, 고충 처리 등을 목적으로 개인정보를 처리합니다.

2. 재화 또는 서비스 제공
물품 배송, 서비스 제공, 계약서 및 청구서 발송, 콘텐츠 제공, 맞춤서비스 제공, 본인인증, 연령인증, 요금 결제 및 정산, 채권추심 등을 목적으로 개인정보를 처리합니다.

3. 고충 처리
민원인의 신원 확인, 민원사항 확인, 사실조사를 위한 연락․통지, 처리 결과 통보 등의 목적으로 개인정보를 처리합니다.

제2조 (개인정보의 처리 및 보유기간)
① 회사는 법령에 따른 개인정보 보유, 이용 기간 또는 정보주체로부터 개인정보를 수집 시에 동의 받은 개인정보 보유, 이용 기간 내에서 개인정보를 처리, 보유합니다.
② 각각의 개인정보 처리 및 보유 기간은 다음과 같습니다.

1. 홈페이지 회원 가입 및 관리 : 사업자/단체 홈페이지 탈퇴 시까지
다만, 다음의 사유에 해당하는 경우에는 해당 사유 종료 시까지
1) 관계 법령 위반에 따른 수사, 조사 등이 진행 중인 경우에는 해당 수사, 조사 종료 시까지
2) 홈페이지 이용에 따른 채권 및 채무관계 잔존 시에는 해당 채권, 채무 관계 정산 시까지


2. 재화 또는 서비스 제공 : 재화․서비스 공급완료 및 요금결제․정산 완료 시까지
다만, 다음의 사유에 해당하는 경우에는 해당 기간 종료 시까지
1) 「전자상거래 등에서의 소비자 보호에 관한 법률」에 따른 표시․광고, 계약내용 및 이행 등 거래에 관한 기록
- 표시․광고에 관한 기록 : 6월
- 계약 또는 청약 철회, 대금결제, 재화 등의 공급기록 : 5년
- 소비자 불만 또는 분쟁 처리에 관한 기록 : 3년
2) 「통신비밀보호법」 제41조에 따른 통신사실확인자료 보관
- 가입자 전기통신일시, 개시․종료 시간, 상대방 가입자 번호, 사용도수, 발신기지국 위치추적자료 : 1년
- 컴퓨터 통신, 인터넷 로그 기록자료, 접속지 추적자료 : 3개월


제3조 (개인정보의 제3자 제공)
① 회사는 정보주체의 개인정보를 제1조(개인정보의 처리목적)에서 명시한 범위 내에서만 처리하며, 정보주체의 동의, 법률의 특별한 규정 등 개인정보 보호법 제17조 및 제 18조에 해당하는 경우에만 개인정보를 제3자에게 제공하고 그 외에는 정보주체의 개인정보를 제3자에게 제공하지 않습니다.
② 회사는 원활한 서비스 제공을 위해 다음의 경우 개인정보보호법 제17조 제1항 제1호에 따라 정보주체의 동의를 얻어 필요 최소한의 범위로만 개인정보를 제3자에게 제공할 수 있습니다.
- 개인정보를 제공받는 자 : <예) (주) OOO 카드>
- 제공받는 자의 개인정보 이용목적 : <예) 이벤트 공동개최 등 업무제휴 및 제휴 신용카드 발급>
- 제공하는 개인정보 항목 : <예) 성명, 주소, 전화번호, 이메일주소, 카드결제계좌정보>
- 제공받는 자의 보유, 이용기간 : <예) 신용카드 발급계약에 따른 거래기간동안>


제4조(개인정보처리의 위탁)
① 회사는 원활한 개인정보 업무처리를 위하여 다음과 같이 개인정보 처리업무를 위탁하고 있습니다.
- 위탁업무 내용
- 위탁받는 자 (수탁자) : (주)아임웹- 위탁하는 업무의 내용 : 쇼핑몰 호스팅 서비스의 시스템 제공, 모바일 앱 서비스, 마케팅 서비스 및 부가, 제휴서비스 제공 및 알림톡, 친구톡, 문자메시지 발송대행 서비스 등
- 위탁받는 자 (수탁자) : OOO PG
- 위탁하는 업무의 내용 : 결제 및 에스크로 업무
- 위탁받는 자 (수탁자) : OOO 택배
- 위탁하는 업무의 내용 : 상품 배송 업무
- 위탁받는 자 (수탁자) : OOO 고객센터
- 위탁하는 업무의 내용 : 고객상담 업무
- 위탁받는 자 (수탁자) : OOO
- 위탁하는 업무의 내용 : 본인확인 업무
- **재위탁사**
- **재위탁받는 자(수탁자) : (주)아임웹 → 인포빕(유)**
- **위탁하는 업무의 내용 : 문자메시지 발송, 카카오톡 알림톡(정보성 메시지) 발송 업무**
- **재위탁받는 자(수탁자) : (주)아임웹 → (주)루나소프트**
- **위탁하는 업무의 내용 : 문자메시지 발송, 카카오톡 알림톡(정보성 메시지) 및 친구톡 발송 업무**
② 회사는 위탁계약 체결 시 개인정보 보호법 제25조에 따라 위탁업무 수행목적 외 개인정보 처리금지, 기술적․관리적 보호조치, 재위탁 제한, 수탁자에 대한 관리․감독, 손해배상 등 책임에 관한 사항을 계약서 등 문서에 명시하고, 수탁자가 개인정보를 안전하게 처리하는지를 감독하고 있습니다.
③ 위탁업무의 내용이나 수탁자가 변경될 경우에는 지체없이 본 개인정보 처리방침을 통하여 공개하도록 하겠습니다.

제5조(정보주체 및 법정대리인의 권리와 그 행사 방법)

① 정보주체는 회사에 대해 언제든지 다음 각 호의 개인정보 보호 관련 권리를 행사할 수 있습니다.
1. 개인정보 열람 요구
2. 오류 등이 있을 경우 정정 요구
3. 삭제요구
4. 처리정지 요구
② 제1항에 따른 권리 행사는 회사에 대해 서면, 전화, 전자우편, 모사전송(FAX) 등을 통하여 하실 수 있으며 회사는 이에 대해 지체없이 조치하겠습니다.
③ 정보주체가 개인정보의 오류 등에 대한 정정 또는 삭제를 요구한 경우에는 회사는 정정 또는 삭제를 완료할 때까지 당해 개인정보를 이용하거나 제공하지 않습니다.
④ 제1항에 따른 권리 행사는 정보주체의 법정대리인이나 위임을 받은 자 등 대리인을 통하여 하실 수 있습니다. 이 경우 개인정보 보호법 시행규칙 별지 제11호 서식에 따른 위임장을 제출하셔야 합니다.
⑤ 정보주체는 개인정보 보호법 등 관계 법령을 위반하여 회사가 처리하고 있는 정보주체 본인이나 타인의 개인정보 및 사생활을 침해하여서는 아니 됩니다.


제6조(처리하는 개인정보 항목)
회사는 다음의 개인정보 항목을 처리하고 있습니다.

1. 홈페이지 회원 가입 및 관리
필수항목 : <예) 성명, 생년월일, 아이디, 비밀번호, 주소, 전화번호, 성별, 이메일주소, 아이핀번호>
선택항목 : <예) 결혼 여부, 관심 분야>

2. 재화 또는 서비스 제공
필수항목 : <예) 성명, 생년월일, 아이디, 비밀번호, 주소, 전화번호, 이메일주소, 아이핀번호, 신용카드번호, 은행계좌정보 등 결제정보>
선택항목 : <관심분야, 과거 구매내역>

제7조(개인정보의 파기)
① 회사는 개인정보 보유 기간의 경과, 처리목적 달성 등 개인정보가 불필요하게 되었을 때에는 지체없이 해당 개인정보를 파기합니다.
② 정보주체로부터 동의받은 개인정보 보유 기간이 경과하거나 처리목적이 달성되었음에도 불구하고 다른 법령에 따라 개인정보를 계속 보존하여야 하는 경우에는, 해당 개인정보를 별도의 데이터베이스(DB)로 옮기거나 보관장소를 달리하여 보존합니다.
③ 개인정보 파기의 절차 및 방법은 다음과 같습니다.
1. 파기 절차
회사는 파기 사유가 발생한 개인정보를 선정하고, 회사의 개인정보 보호책임자의 승인을 받아 개인정보를 파기합니다.
2. 파기 방법
회사는 전자적 파일 형태로 기록․저장된 개인정보는 기록을 재생할 수 없도록 파기하며, 종이 문서에 기록․저장된 개인정보는 분쇄기로 분쇄하거나 소각하여 파기합니다.

제8조(개인정보의 안전성 확보조치)
회사는 개인정보의 안전성 확보를 위해 다음과 같은 조치를 하고 있습니다.
1. 관리적 조치 : 내부관리계획 수립 및 시행, 정기적 직원 교육 등
2. 기술적 조치 : 개인정보처리시스템 등의 접근 권한 관리, 접근통제시스템 설치, 고유 식별정보
등의 암호화, 보안프로그램 설치
3. 물리적 조치 : 전산실, 자료보관실 등의 접근통제

제9조(개인정보 자동 수집 장치의 설치∙운영 및 거부에 관한 사항)
① 회사는 이용자에게 개별적인 맞춤 서비스를 제공하기 위해 이용정보를 저장하고 수시로 불러오는 ‘쿠키(cookie)’를 사용합니다.
② 쿠키는 웹사이트를 운영하는데 이용되는 서버(http)가 이용자의 컴퓨터 브라우저에 보내는 소량의 정보이며 이용자들의 PC 또는 모바일에 저장됩니다.
③ 정보주체는 웹 브라우저 옵션 설정을 통해 쿠키 허용, 차단 등의 설정을 할 수 있습니다. 다만, 쿠키 저장을 거부할 경우 맞춤형 서비스 이용에 어려움이 발생할 수 있습니다.

▶ 웹 브라우저에서 쿠키 허용/차단
- 크롬(Chrome) : 웹 브라우저 설정 > 개인정보 보호 및 보안 > 인터넷 사용기록 삭제
- 엣지(Edge) : 웹 브라우저 설정 > 쿠키 및 사이트 권한 > 쿠키 및 사이트 데이터 관리 및 삭제

▶ 모바일 브라우저에서 쿠키 허용/차단
- 크롬(Chrome) : 모바일 브라우저 설정 > 개인정보 보호 및 보안 > 인터넷 사용기록 삭제
- 사파리(Safari) : 모바일 기기 설정 > 사파리(Safari) > 고급 > 모든 쿠키 차단
- 삼성 인터넷 : 모바일 브라우저 설정 > 인터넷 사용 기록 > 인터넷 사용 기록 삭제

④ 회사는 서비스 이용과정에서 사용자가 방문한 각 서비스와 웹 사이트들에 대한 방문 및 이용형태, 인기 검색어, 보안접속 여부 등을 파악하여 이용자에게 최적화된 정보 제공을 위해 수집・이용하고 있습니다.


제10조(개인정보 보호책임자)
① 회사는 개인정보 처리에 관한 업무를 총괄해서 책임지고, 개인정보 처리와 관련한 정보주체의 불만 처리 및 피해구제 등을 위하여 아래와 같이 개인정보 보호책임자를 지정하고 있습니다.

▶ 개인정보 보호책임자
성명 : OOO
직책 : OOO
연락처 : <전화번호>, <이메일>, <팩스번호>
※ 개인정보 보호 담당부서로 연결됩니다.

▶ 개인정보 보호 담당부서
부서명 : OOO 팀
연락처 : <전화번호>, <이메일>, <팩스번호>

② 정보주체께서는 회사의 서비스(또는 사업)을 이용하시면서 발생한 모든 개인정보 보호 관련 문의, 불만 처리, 피해구제 등에 관한 사항을 개인정보 보호책임자 및 담당부서로 문의하실 수 있습니다. 회사는 정보주체의 문의에 대해 지체없이 답변 및 처리해드릴 것입니다.


제11조(개인정보 열람청구)
정보주체는 개인정보 보호법 제35조에 따른 개인정보의 열람 청구를 아래의 부서에 할 수 있습니다. 회사는 정보주체의 개인정보 열람 청구가 신속하게 처리되도록 노력하겠습니다.

▶ 개인정보 열람청구 접수․처리 부서
부서명 : OOO
연락처 : <전화번호>, <이메일>, <팩스번호>

제12조(권익침해 구제 방법)
정보주체는 아래의 기관에 대해 개인정보 침해에 대한 피해구제, 상담 등을 문의하실 수 있습니다.
1. 개인정보 분쟁조정위원회 : (국번없이) 1833-6972 (www.kopico.go.kr)
2. 개인정보침해신고센터 : (국번없이) 118 (privacy.kisa.or.kr)
3. 대검찰청 : (국번없이) 1301 (www.spo.go.kr)
4. 경찰청 : (국번없이) 182 (ecrm.police.go.kr/minwon/main)


제13조(개인정보 처리방침 시행 및 변경)
이 개인정보 처리방침은 20XX. X. X. 부터 적용됩니다.